مقدار تجمع نانوپلاستیک در مغز انسان معادل یک قاشق است_بام وطن

[ad_1]
به گزارش بام وطن
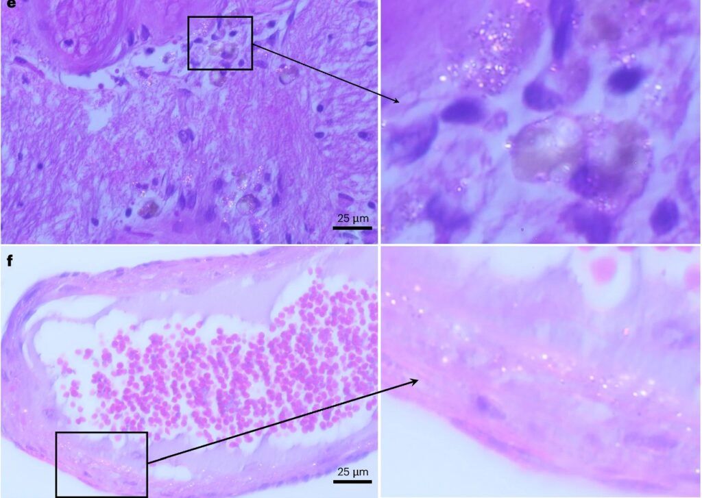
محققان مثالهایی از مغز افراد مرده را برای بازدید مقدار میکروپلاستیک جمعآوری کردند. آنها دریافتند که مثالهای مغز نسبت به مثالهای کلیه یا کبد، سطوح پلاستیکی بالاتری داشتند. مقدار پلاستیکی که محققان در نمونه مغز اشکار کردند، تقریباً معادل یک قاشق پلاستیکی است.
بر پایه گزارش بیزینس اینسایدر و مقاله منتشرشده در نیچر، محققان دانشگاه نیومکزیکو ۵۲ نمونه مغز انسانهای مرده را بازدید کردند و دریافتند که در قیاس با مثالهای کلیه و کبد، ۷ تا ۳۰ برابر میکروپلاستیک و نانوپلاستیک بیشتری در این عضو وجود دارد. به حرف های محققان، در مغز افرادی که در سال ۲۰۲۴ جان خود را از دست دادند نسبت به مغز افرادی که در سال ۲۰۱۶ مردند، نانوپلاستیک بیشتری یافت شده است. گمان دارد این کار به علت افزایش پلاستیکها در محیط باشد.
برخلاف کلیه، کبد و دیگر اندامها، مغز یک سد محافظ به نام سد خونی-مغزی دارد که باید از ما در برابر میکروپلاستیکها محافظت کند؛ این سد مانع ورورد تعداد بسیاری از پاتوژنها و سموم زیان اور میشود. بااینحال میبینیم که نانوپلاستیکها به مغز راه اشکار کردهاند.
تجمع نانوپلاستیک در مغز انسان
مثالهای مغزی که محققان در این پژوهش بازدید کردند از قشر جلوی مغز برداشته شده است، این تکه حرکت ما را کنترل میکند و با تصمیمگیری ربط دارد. زیاد تر پلاستیکهای کشفشده، تکههای پلیاتیلن در اندازه نانو می بود که در کیسههای پلاستیکی، بستهبندی مواد غذایی و بطریهای پلاستیکی آب منفعت گیری میشود.
اشکار نیست که تجمع نانوپلاستیکها در مغز دقیقاً چه تأثیری بر سلامت عصبی دارد. در این مطالعه، ۱۲ فرد مبتلا به زوال عقل بودند که سطوح بالاتری از نانوپلاستیک در مثالهای مغزشان وجود داشت. یقیناً نمیتوانیم از این مطالعه بگوییم که میکرو و نانوپلاستیکها مستقیماً علتزوال عقل خواهد شد. در بیماران مبتلا به زوال عقل زیاد تر سدهای خونی-مغزی مختل خواهد شد، به این معنی که سطوح بالای میکرو نانوپلاستیکها امکان پذیر یک علامت باشد و نه علت بیماری.
میکروپلاستیکها در تعداد بسیاری از تکههای بدن انسان از جمله قلب، کبد، بیضهها و حتی شیر مادر یافت شدهاند. کارشناسان به طور کامل تأثیر منفی این مواد بر سلامتی را فهمیدن نکردهاند، اگرچه برخی از مطالعات میکروپلاستیکها را با بیماری قلبی، سکته مغزی و تعداد کم اسپرم مرتبط میدانند. محققان این چنین درحال بازدید این می باشند که آیا این مواد در افزایش خطر ابتلا به انواع خاصی از سرطان نقش دارند یا خیر.

میکروپلاستیکها همهجا می باشند، آنها در غذا، هوا، آب و زبالههای ما وجود دارند. بااینحال میتوانید با شستن دستها قبل از غذاخوردن، خارجکردن پلاستیک از غذا قبل از قراردادن آن در مایکروویو و اجتناب از نوشیدن از بطریهای پلاستیکی، مقدار قرارگرفتن خود در معرض این مواد را افت دهید.
دسته بندی مطالب
خبرهای ورزشی
[ad_2]




